夏日炎炎,
正是需要防晒的时候。
市场上的防晒产品琳琅满目,
因为使用起来方便又有清凉感,
防晒喷雾,
成了近几年的网红产品。
近日,
湖南长沙一位小伙,
因使用防晒喷雾不当,
竟给自己带来了不小的麻烦!
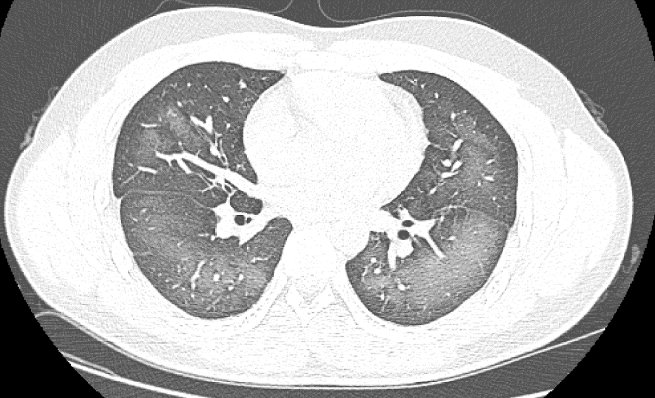
日前,20岁的长沙小伙李林(化名)在外出前使用了防晒喷雾,在对着面部喷洒时一不小心误吸,随即出现胸闷、咳嗽的症状。症状一直持续到第二天仍未好转,他急忙来到湖南省长沙市第三医院就诊。
经检查,肺部CT片显示,李林双肺赫然呈现大范围白色样病变,报告提示“白肺”。
“白肺”一般是指重症肺炎在X线或CT检查下的表现,患者肺部呈现一大片的白色状态,往往会出现呼吸困难、呼吸衰竭,严重者还会出现其他脏器功能障碍。
“白肺”常见于高龄(65岁以上)、免疫力低下、有重要器官慢性病史(如心脏病、中风史、慢性肾脏病、慢性阻塞性肺疾病等)、有多种疾病并存(比如既有高血压、糖尿病,又有心脏病、肺病、肾功能不全)等人群。
长沙市第三医院放射影像科的接诊医师表示,除了感染、弥漫性肺泡出血综合征等“白肺”最常见的病因外,吸入有害物质如粉尘、喷雾等,也可导致肺部出现大范围白色样病变。这位年轻的患者就是因为使用不当,吸入了一部分防晒产品进入肺部,导致“白肺”的发生。
急诊医生给予吸氧、化痰、抗感染等相关治疗后,李林症状得到明显改善。
其实说到防晒喷雾的大火,
明星的“加持”也有一定原因。
但很多明星的示范都是错误的!
比如,
演员李现、古力娜扎、宋轶等
都曾在节目里直接对脸喷。
有粉丝赶忙出来提醒:
“虽然很酷,但大家千万别学。”
此前也报道过,
使用防晒喷雾稍有不慎,
就“引火上身”的事故。
↓↓↓
2022年8月10日,辽宁省沈阳市一位爸爸,在出门时给孩子喷防晒喷雾,但没留意孩子在玩打火机,防晒喷雾秒变“喷火枪”。
消防员也曾进行过实验
↓↓↓
用鸡腿模拟人的皮肤,在喷上防晒喷雾约5秒后,拿出点火器点火,此时鸡腿突然着火,还伴有滋滋的声响。
这样用才安全↓
1、选用温和无刺激、适合自己肤质的产品。如果对酒精不耐受,不要选用含有酒精的防晒喷雾。
2、因个人肤质不同,首次使用前可以把少量防晒喷雾涂抹在耳后、肘关节内侧等部位进行皮试,保持24~72小时,确定无不适反应以后再进行使用。
3、使用防晒喷雾时主要喷洒在身体部位,使用时与皮肤至少保持15~20厘米的距离。使用于面部和颈部时,请先喷洒在手上,然后用手均匀涂抹。若不慎入眼,要立即用水清洗;如有不适要暂停使用。
4、不要在肌肤伤口、红肿或湿疹等有异常的部位使用防晒喷雾。
5、不要在同一个身体部位近距离(如10厘米内)连续喷射超过3秒,防晒喷雾中的推进剂喷出后会迅速挥发吸热,长时间或者近距离使用可能会冻伤皮肤。
6、不要在卫生间、车内等狭小密闭不通风空间内使用,喷洒时要注意通风,使用时紧闭口鼻,勿刻意吸气,避免大量吸入喷雾。
7、应放在儿童接触不到的地方,儿童应在成人监护下使用防晒喷雾。建议给儿童选择配方温和、标识有儿童化妆品标志“小金盾”的防晒产品。
8、防晒喷雾中通常含有易燃物质,请存放在阴凉干燥通风环境中,避免阳光直晒。使用时应远离火源、热源、静电,不得撞击产品,不得将产品或使用完的空罐刺穿或投入火中。

最后还要提醒爱美的你
↓↓↓
在使用防晒产品后,
若出现过敏或其他身体不适时,
应立即停止使用
并及时前往医院就诊!
来源:钱江晚报
编辑:梁渠
文章不错,点个赞吧!