首页 > 健康 > 新闻详情

千万别乱对脸喷!20岁小伙已查出“白肺”

2023-08-11 来源:智慧海都

20岁小伙查出“白肺”

居然因为错误使用了

一个备受欢迎的“网红产品”

或许你家也有!


一个误吸,20岁小伙查出“白肺”


日前,20岁的长沙小伙李林(化名)在外出前使用了防晒喷雾,在对着面部喷洒时一不小心误吸,随即出现胸闷、咳嗽的症状。症状一直持续到第二天仍未好转,他急忙来到湖南省长沙市第三医院就诊。


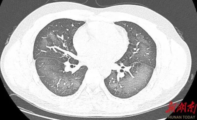
经检查,肺部CT片显示,李林双肺赫然呈现大范围白色样病变,报告提示“白肺”。


图片


只是喷个防晒喷雾,肺部怎么就受损了


“白肺”:一般是指重症肺炎在X线或CT检查下的表现,患者肺部呈现一大片的白色状态,往往会出现呼吸困难、呼吸衰竭,严重者还会出现其他脏器功能障碍。


“白肺”常见于高龄(65岁以上)、免疫力低下、有重要器官慢性病史(如心脏病、中风史、慢性肾脏病、慢性阻塞性肺疾病等)、有多种疾病并存(比如既有高血压、糖尿病,又有心脏病、肺病、肾功能不全)等人群。

长沙市第三医院放射影像科的接诊医师表示,除了感染、弥漫性肺泡出血综合征等“白肺”最常见的病因外,吸入有害物质如粉尘、喷雾等,也可导致肺部出现大范围白色样病变。这位年轻的患者就是因为使用不当,吸入了一部分防晒产品进入肺部,导致“白肺”的发生。急诊医生给予吸氧、化痰、抗感染等相关治疗后,李林症状得到明显改善。


防晒喷雾,不当使用有安全隐患


防晒喷雾因其使用方法简单,受到不少人的青睐。但大剂量地喷洒防晒喷雾,除了会带来误吸的风险,还有可能发生“引火上身”的事故。2022年,沈阳一位爸爸出门前给孩子喷防晒喷雾,因为没留意孩子在玩打火机,防晒喷雾秒变“喷火枪”,瞬间发生爆燃,火焰包围孩子整个脸部,场面非常吓人。经过检查治疗,所幸孩子无大碍,只是皮肤轻度烧伤。


图片


消防员也曾进行实验:用鸡腿模拟人的皮肤,在喷上防晒喷雾约5秒后,拿出点火器点火,此时鸡腿突然着火,还伴有滋滋的声响。


消防部门介绍,市面上的防晒喷雾等防晒产品成分里面多含有变性乙醇、丁烷、异丁烷等可燃物,遇到火就会燃烧。当人的皮肤上大量涂抹这种防晒喷雾时,遇到明火便会着火。


防晒喷雾,这样使用才安全!


01


选用温和无刺激、适合自己肤质的产品。如果对酒精不耐受,不要选用含有酒精的防晒喷雾。


02


使用防晒喷雾时应当注意适量原则,喷洒时尽量遮住口鼻不建议直接对着面部喷洒。


03


使用防晒喷雾时主要喷洒在身体部位,使用时与皮肤至少保持15~20厘米的距离。使用于面部和颈部时,请先喷洒在手上,然后用手均匀涂抹。若不慎入眼,要立即用水清洗;如有不适要暂停使用。


04


不要在肌肤伤口、红肿或湿疹等有异常的部位使用防晒喷雾。


05


不要在同一个身体部位近距离(如10厘米内)连续喷射超过3秒,防晒喷雾中的推进剂喷出后会迅速挥发吸热,长时间或者近距离使用可能会冻伤皮肤。


06


不要在卫生间、车内等狭小密闭不通风空间内使用,喷洒时要注意通风,使用时紧闭口鼻,勿刻意吸气,避免大量吸入喷雾。


07


应放在儿童接触不到的地方,儿童应在成人监护下使用防晒喷雾。建议给儿童选择配方温和、标识有儿童化妆品标志“小金盾”的防晒产品。


08


防晒喷雾中通常含有易燃物质,请存放在阴凉干燥通风环境中,避免阳光直晒。使用时应远离火源、热源、静电,不得撞击产品,不得将产品或使用完的空罐刺穿或投入火中。


最后还要提醒爱美的你

在使用防晒产品后

若出现过敏或其他身体不适时

应立即停止使用

并及时前往医院就诊



来源:北京日报、新湖南、极目新闻、央视新闻、人民日报

编辑:丁小燕

责任编辑: 海峡都市报

相关推荐
文章不错,点个赞吧!
网友评论: 已有条评论
返回顶部
海峡都市报官网归海峡都市报社版权所有,未经海峡都市报社书面授权,
不得转载、摘编或以其他方式使用和传播,违者将依法追究法律责任。
[闽ICP备07502384号]
Copyright © 2022 海峡都市报社, All Rights Reserved