首页 > 健康 > 新闻详情

4岁女孩高烧,父母一个操作致其住进ICU!医生紧急提醒

2023-04-05 来源:智慧海都

近日,广东深圳

女童晓月(化名)反复高烧

其父母多次用75%酒精擦拭和湿敷

导致孩子急性酒精中毒

出现了严重代谢性酸中毒

大脑功能受损

被送入重症监护室(ICU)

引发关注


女童反复高烧

父母用75%酒精擦拭和湿敷


这天晚上,快5岁的晓月(化名)反复高烧,吃了退烧药也不见效。夫妻俩想起了老家流传的“偏方”:酒精擦身。


他们翻出家中的75%酒精喷雾,将棉片喷湿后,敷在孩子的额头、腋窝、肚子上,再用酒精棉片擦拭身体和四肢。


孩子体温一升高,他们就用酒精湿敷和擦身。没想到,忙活了一天,晓月高烧未退,还吐了四五次。她的脸色苍白,尿少,整个人也蔫蔫的。夫妻俩赶紧将孩子送往深圳儿童医院。


晓月在补液治疗时,渐渐出现嗜睡、意识模糊、双眼上翻凝视等症状,最后竟然陷入昏迷!紧急抢救后,她被送入重症监护室(PICU)。检查发现,她急性酒精中毒,出现了严重代谢性酸中毒、大脑功能受损。 


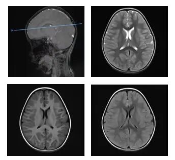
图片

△检查发现,患儿出现了颅内多发病变。


经过治疗两天后,晓月醒了。一周后,她被转入神经内科继续康复治疗。近日复查时,晓月除了语速稍慢,没有其他问题。


“想不到,

酒精擦身退烧,危害这么大!”

其实,这还算幸运的。

用这种酒精擦身退烧,

还闹出过人命:

图片


为什么不建议

用酒精擦身降温?


医生表示

酒精挥发确实是能带走热量

但是没挥发的部分

会进入到孩子的皮肤

蓄积后可能会导致急性酒精中毒

严重的会出现呼吸衰竭甚至死亡


孩子和成年人相比皮肤较为薄嫩,而且孩子当时处于发热状态,代谢较为旺盛,毛细血管和皮肤毛孔都是扩张状态,通过大面积高浓度的酒精湿敷皮肤后,是可以通过孩子皮肤吸收入血的。


医生提醒:

这4种退烧法也千万别试


深圳儿童医院急诊科医生表示

孩子发烧时

捂汗、退烧针、药物灌肠、捏痧刮痧等

也是不可取的方式


01 捂汗


小时候只要发烧,老人都会出主意,“捂一捂,出一出汗就好了”。


其实,这经不起推敲。捂着会导致热量散不出去,反而容易使体温升高。


就算捂出了汗,捂汗退烧的功效也只是暂时的,孩子丢失大量的汗液,反倒可能造成脱水,甚至引起捂热综合征,严重可导致死亡。


02 退烧针


常用的退烧针,就是柴胡注射液和注射用赖氨匹林。


但几年前,这两者就被药监局“点名”了。


一些孩子注射赖氨匹林后,出现了惊厥、呕吐、昏迷等副作用,严重时可直接导致死亡。


早在2018年,国家食品药品监督管理局就曾发布公告:3个月以下幼儿,禁用注射用赖氨匹林,16岁以下儿童慎用。


而注射柴胡之后,容易引起过敏等副作用。


03 药物灌肠


“快速退烧,无创伤无痛苦!”一些无良小诊所,会推荐药物灌肠。灌肠过程中,药物剂量把控不好,会严重损伤孩子的肝肾。操作不当,还可能造成肠穿孔,甚至导致更严重的后果。


04 捏痧/刮痧


宝宝皮肤娇嫩,用这种方法很容易造成软组织挫伤。


而且对于不掌握医学常识的家长来说,贸然进行所谓的“捏痧”,只会对娃的身体造成伤害。


孩子发烧如何正确物理降温?


科学的退烧方法其实很简单

就这3招


图片


图片


不少网友留言:

这个知识需要普及


图片

图片

图片


来源:广州日报、深圳儿童医院、网友评论、钱江晚报

编辑:丁小燕

责任编辑: 海峡都市报

相关推荐
文章不错,点个赞吧!
网友评论: 已有条评论
返回顶部
海峡都市报官网归海峡都市报社版权所有,未经海峡都市报社书面授权,
不得转载、摘编或以其他方式使用和传播,违者将依法追究法律责任。
[闽ICP备07502384号]
Copyright © 2022 海峡都市报社, All Rights Reserved