首页 > 健康 > 新闻详情

警惕!小伙刚下火车急送 ICU!致死率极高,医生:疼了先别揉

2023-08-28 来源:智慧海都

这个夏天你外出旅游了吗?外出游玩虽开心,但这里要提醒大家,长途赶路最好动一动!


近日,一名 22 岁小伙刚下火车,半天内竟发生了 4 次心脏骤停,被紧急送往医院救治,原因就和大家都有的习惯有关。


男子心脏停跳 4 次命悬一线


近日,小韩(化名)从外地坐火车到深圳,刚出站,突然眼前一黑摔倒在地。路人纷纷围了上来,打电话叫救护车的时候,小韩已经无意识无呼吸无心跳,热心市民持续心肺复苏。


图片

图为火车站现场照片,热心路人拍摄


120 车很快赶到。可就在送医路上,他再次出现心跳骤停,急救医生按压 5 分钟,把他救了回来。


凌晨 1 点 15 分,小韩被送到深圳大学总医院急诊科,当时心率达到每分钟 200 次,出现了代谢性酸中毒、低钾血症症状,血氧饱和度较差。


急诊医生紧急进行气管插管帮助他呼吸,之后第三次出现心跳骤停


小韩被送入 ICU(重症监护室),做了血管造影等各项检查。很快,检查结果出来了:“肺栓塞”!“危重型血栓性肺栓塞”!


随后,小韩第四次出现心跳骤停。于是医院赶紧安排手术,争分夺秒溶栓治疗,终于救下来小韩。


图片


经过了解,小韩是一名 00 后小伙,今年 22 岁,没有基础疾病,但之前打工非常辛苦,经常凌晨 3 点才睡觉,出发前已有胸痛的情况。这次一个人坐火车去深圳打工,大概坐了 5 个小时,久坐后突发肺栓塞,“没想到差一点人就不在了!”


有医院一个月抢救十多人

久坐搓麻的人要警惕!


刷剧、打牌、长途旅游,是多少家庭假期的休闲套餐。殊不知这样长时间的静止不动,会造成下肢静脉血液回流缓慢、淤滞,形成下肢深静脉血栓,就是我们所说的血块。


久坐后开始活动,血栓脱落,随血液回流到心脏,继而又达到肺动脉,就会造成“肺栓塞”,使肺脏缺血、缺氧引起胸痛、气短、咯血,严重时会猝死。这种情况医学上又叫做“牌桌综合征”“经济舱综合征”。


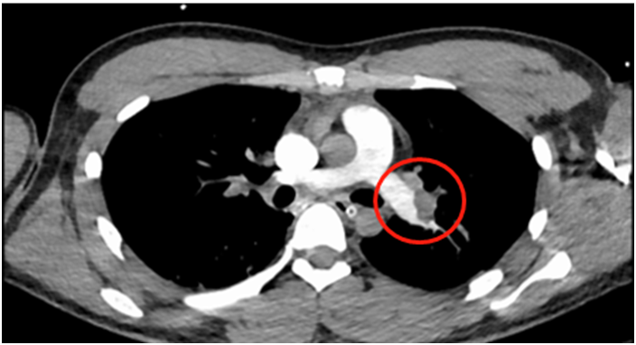
图片

双下肺动脉主干完全闭塞(圆圈所示是堵住肺动脉的血块)


四川省人民医院急救中心副主任医师苏明华表示,暑期是旅行旺季,乘坐交通工具易久坐不动,一个月医院急诊科就抢救了 10 多个肺栓塞病人。


国际血栓与止血学会提供的资料显示:全球每 16 秒就有 1 人患静脉血栓栓塞性疾病,每 37 秒就有一人死于该病。


最可怕的是,它明明是一个高发突发重病,但自行就诊率非常低,症状跟其他病容易混淆,如果不专门去查,有时候都不一定能够发现它。


钱江晚报此前,也曾报道过类似案例——


兴冲冲来杭州旅游

男子却住进医院


刘先生(化名)今年 65 岁。子女驾车带他赶到杭州来旅游,然而随着坐车时间延长,其左脚渐渐出现问题。


“患者左脚整个红肿痛,里面都有硬块了,为血栓性静脉炎了,得动手术。”浙江省人民医院血管外科副主任医师陈乐高说。听到要住院动手术,刘先生一开始不以为然,说就是奔西湖而来的,没看到西湖就住院心里接受不了。


“你们的心情我十分理解,问题是腿上已长血栓了,活动太多的话,会引起血栓脱落,那就危险了。”经过反复耐心劝说,刘先生才无奈答应住院。


一连几天在打牌脚肿痛


60 多岁的金先生患有高血压和糖尿病,平时喜欢打牌。


与家人畅玩两三天,金先生觉得左脚肿了,还有点痛。去医院检查后,超声结果证实,金先生左侧下肢深静脉血栓形成,医生立即在血栓上方放置滤网……


“血栓的可怕之处在于血栓会从脚上蔓延,会脱落。当脚上静脉血栓形成后,血栓堵塞血管引起回流血液受阻,从而使血液凝结成血栓。当血栓一路蔓延到了管径比较大的髂静脉、下腔静脉时,由于血管较大,有部分血流会冲刷血栓造成大的血栓脱落,一旦大块血栓脱落,会引起大面积肺栓塞,致死率非常高。”医生解释。


医生分析认为,金先生此次发生下肢深静脉血栓与其打牌久坐不动、喝水少,血液黏稠度增加等因素有关。


如何判断自己是否有血栓症状?


专家医生提醒大家,血栓在腿部的症状要注意:


1.疼痛疼痛是最早的症状,大多出现在小腿腓肠肌、大腿、腹股沟区域,大多数人会有肌肉抽筋或者肌肉紧绷感。

2.肿胀下肢肿胀是最主要的症状,除少数因下腔静脉血栓形成而表现为双下肢肿胀外,绝大多数为单腿肿胀。


腿疼先别揉

当心血栓随血流!


当血栓黏在血管壁上时,只会引起腿肿和疼痛,相对来说是安全的,可控的。一旦经过挤压和揉搓后,脱落的新血栓就会随着血流漂移到心脏,堵住重要的肺内血管,就会发生肺栓塞,危及生命。


医生建议:


1.在坐飞机或坐车途中,尽量多活动。


可以在座位上多次踮起脚尖,每次动作持续几秒钟,做 10-15 次,让腿部肌肉收缩,把血液压向静脉,避免产生血栓。


2.合理的补充水分


多喝水或者不含酒精的饮料,使血液畅通。


3.穿宽松的衣物


穿宽松的衣裤,避免过紧的袜子和裤腰,有利于下肢静脉血液的回流。还可以穿上低膝弹力袜,以预防静脉血液瘀滞,使血液更好回流心脏。



来源:钱江晚报、科普中国

编辑:丁小燕

责任编辑: 海峡都市报

相关推荐
文章不错,点个赞吧!
网友评论: 已有条评论
返回顶部
海峡都市报官网归海峡都市报社版权所有,未经海峡都市报社书面授权,
不得转载、摘编或以其他方式使用和传播,违者将依法追究法律责任。
[闽ICP备07502384号]
Copyright © 2022 海峡都市报社, All Rights Reserved