N海都记者 林宝珍 通讯员 游昌财

今年43岁的蔡女士来自厦门,11年前发现鼻咽癌,经放化疗后好转。两年前,她的右颈部又突然冒出一个肿物,检查后被诊断为鼻咽癌复发并右颈淋巴结转移。这一次,在当地医院接受了标准治疗后,肿瘤仍在增大,直到转诊到福建省肿瘤医院,治疗团队采用综合治疗和个性化的治疗方案,才将肿瘤“扼制”住。目前蔡女士已恢复正常工作和生活。
福建省肿瘤医院院长陈传本教授介绍,鼻咽癌治疗以精准调强放疗为主,福建省肿瘤医院是我省最早开展放疗的单位,拥有全省最强大的放疗团队和设备,收治了全省50%以上的鼻咽癌患者,五年生存率达80%以上,不少复发转移的疑难患者转诊到该院后,都获得了良好的疗效。
福建省肿瘤医院头颈放疗科专家团队在讨论疑难病例
01
鼻咽癌复发并迅速增大
个性化治疗后“治愈”
据介绍,近年来,蔡女士一直很小心,定期复查。然而,2020年12月,她的右颈处突然长出一个肿物,并迅速增大,没过多久周围皮肤出现破损,到医院一检查,被告知是“鼻咽癌放化疗后右颈淋巴结转移”。蔡女士赶紧到当地医院接受治疗,但是经过6个周期的全身化疗和4个周期的免疫治疗后,复查磁共振提示,右颈处的肿物仍在增大。
为了获得更好的治疗,2021年3月,蔡女士转诊到福建省肿瘤医院,该院鼻咽癌医疗团队接诊了她。
“入院检查显示,患者虽然接受了规范的治疗,完成了鼻咽癌复发的标准化的化疗,但效果并不好,肿块很大,还存在淋巴结转移,脖子的肌肉和皮肤也受到了损害,甚至出现了皮肤破损。”
邱素芳主任介绍。根据蔡女士的病史和当时的身体状况,医疗团队决定调整化疗方案,进行全身化疗,令人惊喜的是,蔡女士对这种方案非常适应,在进行了3个周期的化疗后进行复查,发现肿瘤缩小了一半。随后,团队又给蔡女士进行右颈部调强适形放疗,敏感度也相当好;期间还配合靶向治疗,也取得了不错的疗效。
2021年6月,也就是蔡女士转诊到省肿瘤医院治疗3个月后,复查显示,其右颈部的肿瘤已全部消失。之后,蔡女士一直定期复查,至今没有再次出现肿瘤复发的情况,一度难治的鼻咽癌相当于临床治愈了。
02
难治性鼻咽癌肝转移
多方案综合治疗后肿瘤消失
42岁程先生是一位鼻咽癌复发患者。2016年,他首次发现自己患上了中期鼻咽癌,并在福州的一家三甲医院接受了标准的根治性放化疗,幸运的是,病情得到了好转。然而,就在即将迎来五年复查的2022年3月,却意外发现肝脏近膈顶处出现了一个3.7cm×2.8cm的占位病灶,被怀疑是鼻咽癌的肝转移。随即,他转到福建省肿瘤医院放疗科就诊。
邱素芳主任医师团队接诊了他。为了确诊病情,程先生接受了PET-CT全身扫描,结果显示肝脏和腹膜后淋巴结均有转移灶。随后,通过肝穿刺病理检查和免疫组化,医生们证实了肝转移的原发病灶在鼻咽癌。
面对鼻咽癌肝转移的挑战,邱素芳主任向程先生的家人介绍了治疗预后并不乐观的情况。然而,他们仍然希望全力以赴治疗。为了制定最佳的治疗方案,医院组织了全院大讨论。专家们反复讨论后,给程先生制定了“全身化疗+免疫治疗+靶向治疗+SBRT(立体定向放疗)”的综合治疗方案。
2022年3月到6月,程先生毅然接受了6个周期的的全身化疗,期间配合靶向治疗和免疫治疗维持;7月中旬,又行肝、腹膜后淋巴结转移灶局部SBRT放射治疗。这一系列的治疗措施都得到程先生及家人积极配合,治疗过程很顺利。在治疗期间,专家团队通过不断的复查和监测,对程先生的病情进行了及时的评估。
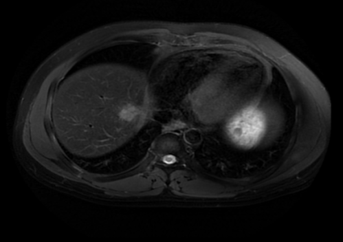
2022.03.11PET-CT:肝VIII段低密度影,大小约3.7cm×2.8cm
2022.05.08化疗两周期后复查肝脏MRI:肝VIII段低密度影,大小约2.3cm×1.9cm
2022.09.21肝脏放疗结束后复查肝脏MRI:肝VIII段转移灶治疗后改变,病灶基本消失。
2023.01.14定期复查肝脏MRI:肝VIII段转移灶治疗后改变,未见复发征象。
2023. 04.26复查肝脏MRI:肝VIII段转移灶治疗后改变,未见复发征象。
“医生们定期进行肝脏磁共振检查,结果显示肿瘤逐渐缩小,如同拨云见日。”邱素芳主任介绍,鼻咽癌治疗一定要边观察边调整,根据病人的实际情况和疗效来调整治疗方案及强度、在综合治疗的同时,又要具有个体化特点。
当放疗结束后程先生再进行复查时,喜讯传来——肿瘤完全缓解,已经在影像学上消失不见了,程先生一家开心不已。
目前,程先生仍在接受免疫维持治疗,密切随访。
03
创新成果获43家医院推广应用
科研项目获省科技进步奖一等奖
福建省肿瘤医院头颈放疗科专家团队为第一次放疗的患者复位验证
我国南方地区,如广东、广西、海南、湖南、福建等省份,是鼻咽癌的高发地区,约占全球发病率的50%。仅福建省肿瘤医院每年接诊的鼻咽癌患者就有数千例,占全省收治量的一半。该医院的鼻咽癌五年生存率超过80%,达到国际领先水平。
陈传本教授介绍,尽管鼻咽癌的疗效较好,但在诊治方面仍存在一系列重点、难点的科学问题。比如,约20%的患者可能会面临鼻咽癌的复发和转移,如何准确预测预后成为重要问题。难治性鼻咽癌的治疗策略选择也是一个难题。免疫治疗对患者的有效率仅为20%-40%,如何精准筛选患者,避免过度治疗,是重点问题。另外,晚期鼻咽癌的治疗效果较差,如何早期筛查和诊断成为关键研究方向。
为此,由陈传本教授和邱素芳教授领衔,福建省肿瘤医院与福建师范大学合作开展了“鼻咽癌诊疗新技术的系列研究及应用”项目。项目历时十余年,在国自然基金和省自然基金的支持下取得了五个创新成果:
1、建立了基于精准调强放疗的鼻咽癌肿瘤体积预测预后新方法,为个体化精准治疗提供了依据。
2、构建了复发鼻咽癌的精准调强放疗技术体系,使患者的无病生存率达到65.8%,并降低了15%的后遗症发生率。
3、在国内率先开展了局部晚期鼻咽癌及残留病灶的优选治疗技术,极大地改善了局部晚期鼻咽癌患者的治疗抵抗力,并提高了治疗的敏感性。
4、发现了鼻咽癌免疫治疗的新靶点和免疫预后风险模型,为精准筛选适宜的免疫治疗患者提供理论支持,避免过度治疗。
5、首次在国际上建立了基于拉曼光谱血液检测的鼻咽癌筛查技术,为鼻咽癌的筛查和治疗开辟了新方向。
福建省肿瘤医院的鼻咽癌研究成果在4万余例鼻咽癌临床验证中取得显著治疗效果和社会效益。目前在国内外已有43家医院推广应用,包括37家三甲医院和国际肿瘤专科医院。项目组参与撰写了国内首个《鼻咽癌标志物临床应用专家共识》,研究成果还被收录于权威专业教科书,并在国际放疗学术会议上广泛交流和汇报。
2022年12月,“鼻咽癌诊疗新技术的系列研究及应用”荣获2021年度福建省科学技术进步奖一等奖。
文章不错,点个赞吧!